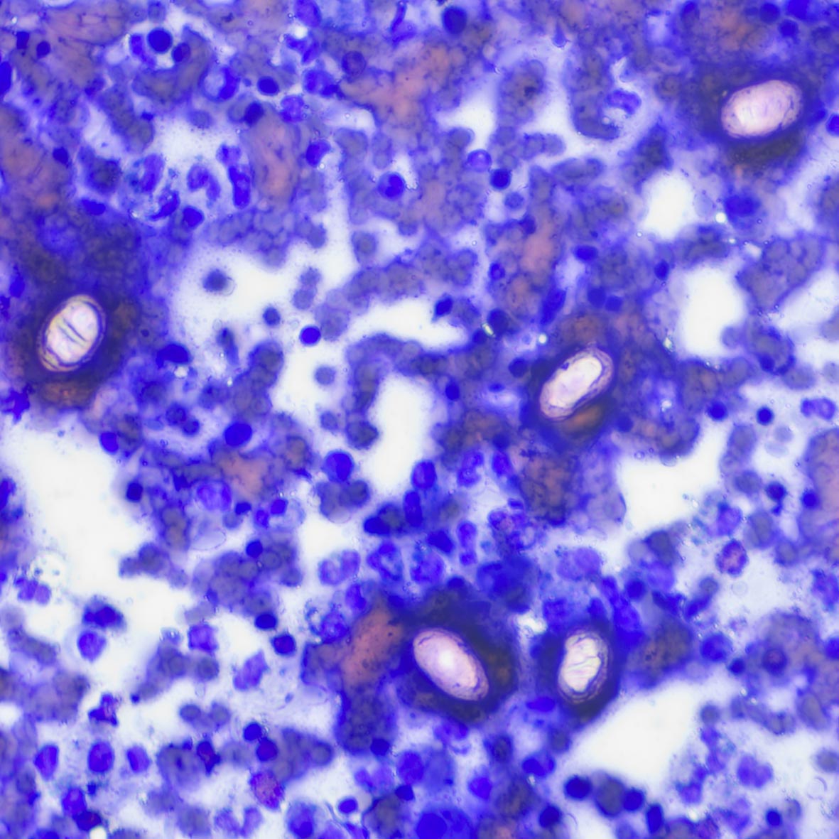
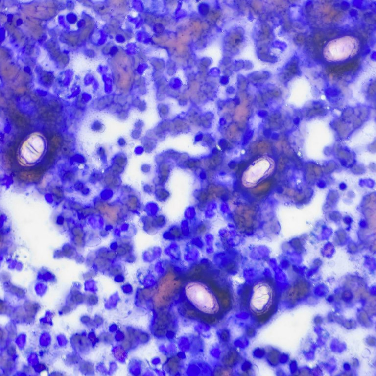
Eimeria steidae
Hepatic coccidia obtained by a firmly-made impression with a microscope slide onto the cut surface of an affected liver. The slide was stained with RapidDiff2. The rabbit had died from RHDV2 which made an unavoidable preponderance of erythrocytes even with careful preparation (blotting) of the liver before applying the slide. Three slides were made and this, the third, was the only slide with coccidia. Success with this technique requires careful blotting of the cut surface and some pressure on the sides of the liver so that coccidia are squeezed out of the affected bile ducts.
