Sections

Frances Harcourt-Brown
  • Home
  • Veterinary Information
    • Veterinary Information
    • Diet
      • Diet
      • Foraging for wild plants
      • From the greengrocer
      • Grow your own rabbit food
      • Plant toxicity
      • The problem with muesli mixes
      • Calcium and rabbit food
      • Are sugars and starches dangerous for rabbits?
      • Diet sheets
    • Infectious diseases
      • Infectious diseases
      • Myxomatosis
      • Rabbit haemorrhagic disease
    • Sudden or unexpected death
      • Sudden or unexpected death
      • Causes of rapid death
      • Post mortem examination
  • Contact

Skip to content. | Skip to navigation

Personal tools

Log in
Contents
  • Home
  • Veterinary Information
  • Contact
  1. Home
  2. Media
  3. Collections
  4. PATHOLOGY
  5. HISTOLOGY
Info

    

HISTOLOGY

Coccidia in intestinal mucosa Coccidia in intestinal mucosa
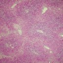
Hepatic coccidiosis Hepatic coccidiosis
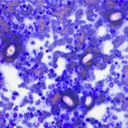
Eimeria steidae Eimeria steidae
Hepatocellular necrosis due to RHDV2 Hepatocellular necrosis due to RHDV2
  • Site Map
  • Accessibility
  • Contact

© 2000-2024 by Frances Harcourt-Brown