Microscopic changes associated with RHD
Death from RHD is due to fulminant liver failure or disseminated intravascular coagulopathy (DIC) and there is microscopic evidence of this. Acute hepatocellular necrosis with a characteristic pattern is present in rabbits that have died from RHD and there may be changes in other organs that support the diagnosis. Very occasionally, death is so rapid that microscopic changes do not have time to become widespread and may not be evident throughout the tissue.
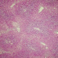
The characteristic histopathological features of RHD are described in detail by Harcourt-Brown et al. 2020. They include:
Liver:
- Variable lytic and coagulative hepatocellular necrosis with a periportal to multifocal to diffuse distribution.
- Hepatocellular necrosis may be accompanied by variable congestion, haemorrhage and sinusoidal fibrin thrombi.
- Inflammatory infiltrates of heterophils and fewer macrophages, are generally mild but more marked in less acute cases and in cases showing larger foci of confluent necrotic hepatocytes.
Extra-hepatic:
- Fibrin thrombi may be seen, particularly in the glomeruli of kidneys and in the lungs.
- Haemorrhages may be seen in various organs including the heart.
- Lymphocytolysis, deposition of fibrin and haemorrhages are sometimes evident in the spleen.

