Back to site Hepatocellular necrosis due to RHDV2

Hepatocellular necrosis due to RHDV2

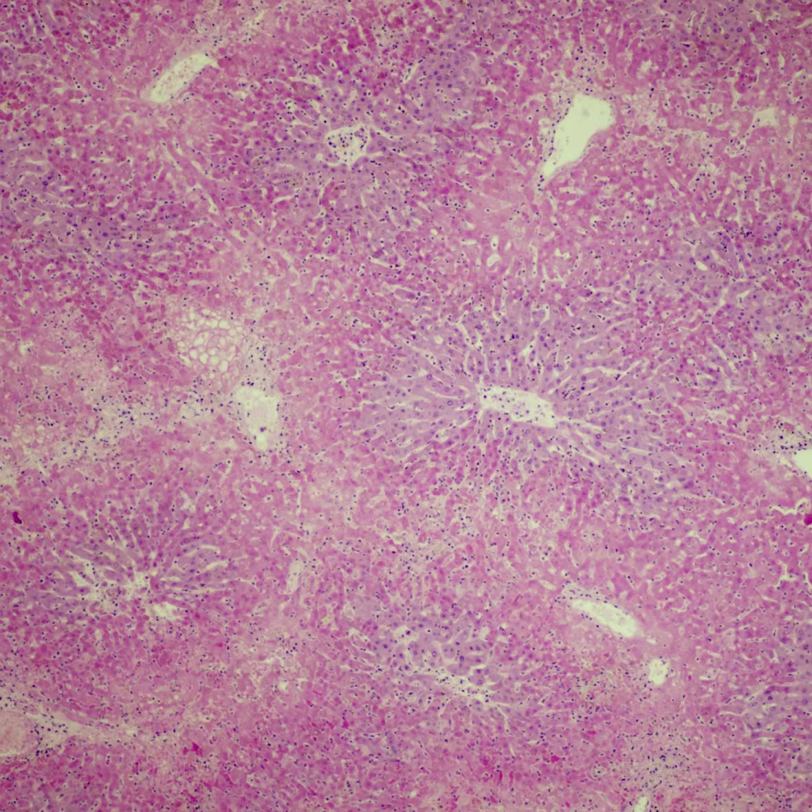
In this view, several complete lobules can be seen and there is marked acute hepatocellular necrosis (pinker colour) with only the hepatocytes (bluer colour) close to the central vein (whitish 'hole') being spared. This picture is typical of RHD. RHDV2 was confirmed by PCR testing in this case.